
100% 5-Star reviews
Free iTero digital scan ($300 value)
0% interest, flexible financing
Friendly, personalized care in a family-owned office


TOMBLYN FAMILY ORTHODONTICS IS PROUD TO BE A TOP 1% DIAMOND INVISALIGN® PROVIDER!
Only the most experienced receive a Diamond Invisalign Provider rating. This means our doctors have vast experience with creating smiles using the Invisalign® system, and have prescribed hundreds of treatment plans this way! It is important since it is your Invisalign provider, not the computer, who prescribes every tooth movement and your final bite. When you choose Tomblyn Family Orthodontics, you know you are going to someone who has experience.


1,000+
Clear Aligners and Braces
100%
5-Star reviews
15+
Years of Combined Experience

Phase 1 – Treatment on Children

Phase I – Treatment on children
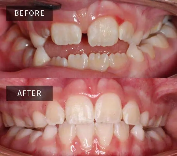
Making space for upper four front teeth

Teen -Anterior Crossbite (Under Bite)

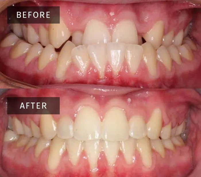
Adult/Teen – Spacing

Adult/Teen – Anterior Crossbite

Adult/Teen – Open bite

Dr. Travis Tomblyn

Dr. Travis Tomblyn graduated with honors from West Virginia University School of Dentistry at the top of his class. He received his Master of Science degree and certificate for Advanced Education in Orthodontics from West Virginia University Department of Orthodontics. With a passion for working with patients to create beautiful smiles that can last a lifetime, Dr. Tomblyn enjoys getting to know his patients and building lasting relationships with them. He has a special interest in Invisalign® for Teens, Invisalign® for Adults and Cosmetic Braces.
Outside the office, Dr. Travis Tomblyn and his wife, Dr. Jen Tomblyn, love spending time with their two sons, Cole and Camden. When they aren’t in the office, you’ll find them making the most of family time, often with their dog, Macie, close by. Whether they’re exploring Austin’s outdoor activities or enjoying a quiet evening together, family is at the heart of Dr. Tomblyn’s life outside of orthodontics.








Dr. Jennifer Tomblyn
Dr. Jennifer Tomblyn is an orthodontist practicing at Tomblyn Family Orthodontics in Westlake and Central Austin. Dr. Tomblyn graduated Summa Cum Laude from West Virginia University in just three years and graduated first in the WVU School of Dentistry Class of 2012. Growing up, her orthodontist was such a great mentor to her as a teen, giving her confidence through a beautiful smile. She knew she wanted to have the same positive impact on patients.
Dr. Jennifer Tomblyn enjoys getting to know her patients and truly believes that a beautiful smile can change a person’s life. Outside of the office, Dr. Jen and Dr. Travis enjoy spending time with their two amazing boys, Cole and Camden, and their sweet dog, Macie.

Confidently smiling in every photo
Better oral health and easier dental hygiene
Finally getting the smile of your dreams
clear Aligners
Want to straighten your teeth discreetly? Clear Aligners gradually shift your teeth into place without anyone noticing
Traditional Braces
Modern braces are sleeker and more comfortable than ever. They efficiently align your teeth and bit for a picture-perfect smile
Clear Ceramic Braces
These work just like traditional braces but are less noticeable thanks to their tooth-colored brackets.

Want to straighten your teeth discreetly? Clear aligners gradually shift your teeth into place without anyone noticing.
Modern braces are sleeker and more comfortable than ever. They efficiently align your teeth and bite for a picture-perfect smile.
These work just like traditional braces but are less noticeable thanks to their tooth-colored brackets.
Megan G.
"Everyone is extremely friendly & Dr Tomblyn is super smart & didn’t mind answering my million questions! Highly recommend!"
jEANIE a.
"I recently had a consultation with Dr. Tomblyn and had the best experience. I can’t wait to start treatment!!"
cIARAN w.
"10/10 experience with Tomblyn Family Orthodontics. I did my Invisalign here and it was a fantastic experience from start to finish. It is family run and has a family feel. They have the friendliest staff and the most amazing team ever. From scheduling to payment plans to service, it was all so seamless and easy. On top of that, they are very efficient, you are in out with no delays, on time every time. I highly recommend Tomblyn Family Orthodontics."
sARAH f.
"The team at Tomblyn is wonderful across the board! From explaining what to expect every step of the way to finding fast appointments when things don't quite go as planned, we've had a great experience with this team! 💜 …"
aARON M.
"Our consultation with Dr. Jen was thorough! She went over the possible scenarios we could choose from for treatment. Ashley and the finance team laid out payment plan and discounts where we could make a decision easily! And Mikayla did an excellent job making our patient feel comfortable as she was getting her braces placed! What an incredible experience! Highly recommend, Drs. Tomblyn and their staff if you’re in the Austin area and needing orthodontic treatment!"
Jenny G.
"Ok y’all, this is it! Tomblyn Family is AMAZING! They are super flexible in their scheduling, send plenty of reminders, and everyone is friendly and helpful. Dr. Jen is gentle, kind, and very smart! Ashley has helped us every step of the way; she’s extremely knowledgeable and had answers to our questions before we even asked. Since orthodontic treatment takes a long time, I’m so glad we found this practice to support us through the journey!"
Call or take our quick quiz to see which treatment is right for you.
Call or take our quick quiz to see which treatment is right for you.
Powered by Wonderist Agency, WonderFunnels | Privacy Policy